by Kimberly Allen, RN
Tay-Sachs
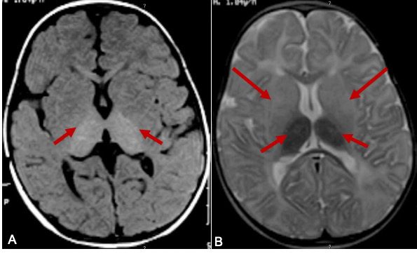
Tay-Sachs disease is considered a rare autosomal recessive genetic disease. Tay-Sachs has always been commonly referred to as a “Jewish disease” with as many as 1 out of every 25 Ashkenazi Jews being carriers of the defective gene, however, that demigraphic is changing. Today most babies born with Tay-Sachs disease are not of Jewish descent. According to the director of family services at the National Tay-Sachs and Allied Diseases there are approximately 15 new cases of infantile Tay-Sachs disease diagnosed in the US every year of those 15 “maybe one is from a Jewish family.”
Tay-Sachs is caused by a genetic mutation in a single gene, the HEXA gene located on chromosome 15. In order to develop Tay-Sachs you must inherit a copy of the mutated gene from each parent. To date, there have been numerous mutations of the HEXA gene discovered and other new ones are still being discovered. These mutations occur in several different populations. A large portions of the Cajun population in Southern Louisiana also carry the same HEXA mutation that is commonly found in the Ashkenazi Jewish population. People of French-Canadian descent carry a variation of the mutation and have a carrier frequency that is similar to that of the Ashkenazi Jews. Whatever the mutation it prevents the production of the protein Hexosaminidase A or Hex A. This enzyme is crucial in breaking down certain fatty proteins called gangliosides in the brain. Therefore these fatty proteins build up in the nerve cells in the brain leading to the premature death of the nerve cells. As the nerve cells die your child’s movements and cognitive development as well as hearing and vision become affected. 
There are different variants of Tay-Sachs disease depending on age at onset and neurological symptoms presented. Infantile Tay-Sachs disease or TSD is the most common variant. In this type your baby appears to be developing normally during the first 6 months. Then as the gangliosides accumulate the nerve cells become enlarged and die which leads to progressive deterioration of both the mental and physical abilities of your baby. Adult or late onset Tay-Sachs disease is a more rare form of the disease that until the 1980’s was not always recognized as a form of Tay-Sachs and was frequently misdiagnosed as and other neurological condition. This form of Tay-Sachs disease usually manifests when you are in your 20’s to early 30’s. Symptoms you might experience with this form of Tay-Sachs include difficulty with speech and/or swallowing, an unsteady gait and muscle spasticity as well as a decline in cognitive and psychiatric function. Although most of the time people with this form of Tay-Sachs disease end up in a wheel chair full time if the psychiatric as well as the physical symptoms like seizures are well manages they are able to live full adult lives.
Although carrier screening is wide spread in the Jewish community it is not as wide spread in other populations. This is mostly because many are unaware that the disease occurs in other populations besides the Jewish community. And even when non-Ashkenazi Jews are screened they tend to be missed because the DNA test that is the standard for testing for Tay-Sachs disease is only effective in detecting the most common mutations like those in Ashkenazi Jews. For people of non-Jewish descent, a test that measures how much of a specific enzyme is in the blood is more effective in detecting other, more rare mutations.
Although there is currently no cure for Tay-Sachs disease genetic screening has significantly reduced the number of babies born with the disease. In fact, some experts say that it has been “all but screened out of the Jewish population.” With the development of assisted reproductive technology at risk couples are able to become pregnant with a healthy child. There is also ongoing research in the treatment of Tay-Sachs disease though all are still in the experimental stage there are several options being explored.
Canavan
Canavan disease is a progressive neurodegenerative disorder that is inherited. though considered rare it is one of the most commonly diagnosed cerebral degenerative diseases in infancy. While Canavan disease can occur in anyone it is most common in the Ashkenazi Jewish population. Studies have indicated that Canavan disease affects as many as 1 in 6,400 Ashkenazi Jews.
Canavan disease is a member of the family of genetic disorders known as the Leukodystrophies. The leukodystrophies are a group of disorders that affect the myelin sheath. The myelin sheath is the fatty coating that covers the nerve fibers in the brain and spinal cord insulating and protecting it. The myelin sheath is a substance that is intricate and composed of at least 10 different chemicals. Each one of the leukodystrophies affects only one of these chemicals. In canavan disease the enzyme affected is known as aspartoaclyase. aspartoacylase is responsible for breaking down a substance known as N-acetyl-L-aspartic acid or NAA. Although the exact function of NAA isn’t clear it is primarily found in the nerve cells of the brain and is believed to play a role in myelin production. Recent studies have indicated that when NAA is not properly broken down it causes a chemical imbalance that interferes with the formation of myelin during the development of the nervous system. As the NAA builds up it causes increased destruction of the existing myelin coating the nerve cells. When the nerve cells do not have the myelin sheath to coat and protect them they malfunction and die causing damage to the brain and nervous system.
Canavan disease is an autosomal recessive disorder, which means that in order to develop the disease you must inherit an exact copy of the mutated gene. Even if you inherit a mutated gen that causes canavan disease from one parent and a mutated gene that causes a different form of leukodystrophy you will not develop either disorder instead you will be a carrier and are able to pass the mutation on to future generations.
As a rule the symptoms of canavan disease tend to manifest early in infancy. However, it can vary from child to child. Infants born with canavan disease usually appear to develop normally during the first few months of their life. Then around 3 to 5 months of age they begin to have difficulty with development. They begin to demonstrate delays in developing motor skill like controlling movement of their head, turning over and being able to sit without support. Babies with canavan disease usually have a larger head size, poor muscle tone and an abnormal posture as well as mental disabilities. Many also have seizures and sleep disturbances as well as feeding and swallowing problems.
The life expectancy for children born with canavan disease varies from child to child, while some children only survive into childhood others are able to survive into adolescence and even into adulthood. There is currently no cure or standard treatment available for canavan disease. For now all treatment is focused on treating the symptoms and providing supportive care. However, there is ongoing research. The good news is the gene that is responsible for canavan disease has been identified and there is genetic testing available to detect the gene. With the development of genetic testing for canavan disease couples that are at risk are able to use the new technologies for assisted reproduction to have healthy children which has reduced the number of children born with the disease. There is also research involving gene transfer to replace the mutated gene, metabolic therapy to replace the missing metabolite and enzyme therapy which involves creating the enzyme aspartoacylase and injecting it into the bloodstream. So far the results are encouraging but there is more to be done to find a safe effective treatment.
If you are interested in learning about or participating in a clinical trial ask your doctor about an NIH center near you.
Kimberly Allen is a registered nurse with an AND in nursing. She has worked in ACF, LCF and psychiatric facilities, although she spent most of her career as a home health expert. She is now a regular contributor to HealthAndFitnessTalk.com, dispensing advice and knowledge about medical issues and questions. You can reach her with any comments or questions at mussatti3@gmail.com.