by Kimberly Allen, RN
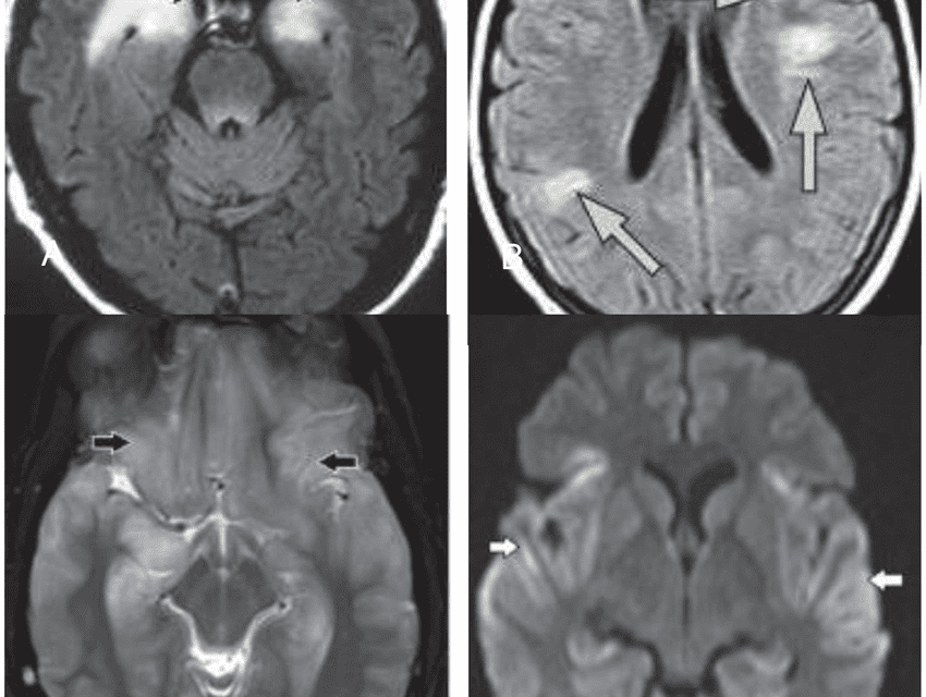
Limbic encephalitis is a type of inflammation of the brain involving the limbic system. The limbic system is the area of the brain that controls our emotions, like love, anger, jealousy and sadness. The limbic system includes the hippocampus, hypothalamus and thalamus as well as the amygdala.
Though there are multiple causes of limbic encephalitis most types fall into one of two main categories; infectious limbic encephalitis or autoimmune limbic encephalitis. Though any infection involving the brain has the potential to cause an inflammation of the brain viral infections appear to specifically target the limbic areas of the brain. The most common viral infection associated with limbic encephalitis is the herpes simplex virus. Limbic encephalitis can also be caused by an abnormal autoimmune response. It is the responsibility of our immune system to identify and eliminate infections, however, sometimes the antibodies produced by our immune system react to proteins in our bodies instead of an infection causing autoimmune diseases. Autoimmune limbic encephalitis is classified either as paraneoplastic limbic encephalitis or PLE, or non-paraneoplastic limbic encephalitis or NPLE. PLE usually occurs in people diagnosed with certain types of cancer. The most common form of cancer that is usually involved is small cell lung cancer, however, PLE also occurs in people with other types of cancer including breast cancer, ovarian cancer and testicular cancer as well as others. On the other hand, NPLE has only been recognized in recent years. In people with NPLE there is no evidence of tumors or cancer. Instead NPLE is believed to be caused by certain antibodies in the blood that targets the limbic areas of the brain, especially the hippocampus.
In the past few years, several specific brain proteins that are targets for these antibodies have been identified. There’s an antibody identified as voltage-gated potassium channel complex antibody which targets proteins that are closely associated with the potassium channels in the brain which play an important role in controlling the electrical activity in the brain. Two other antibodies that have been identified target the AMPA and GABAB receptors in the brain. Most of the people with this type of PLE have an underlying malignancy. The NMDAR antibody is also usually associated with a cancerous growth.
People with limbic encephalitis, regardless of the cause, tend to manifest similar symptoms. One of the most common being memory loss because the limbic system plays such a crucial role in the creation of memories. Other symptom’s that are associated with limbic encephalitis include confusion and disorientation some even display signs of delirium and some also have seizures.
The treatment of limbic encephalitis is dependent on the cause. Limbic encephalitis caused by viral infections are treated with antiviral medications to resolve the infection. While treatment of limbic encephalitis that is the result of an autoimmune response usually involves the use of immunosuppressive drugs including steroids and immuglobulin as well as plasma exchange. In people with PLE, the focus of treatment is on treating the cancer that is causing the PLE.
Many experts feel limbic encephalitis is under diagnosed mainly due to a lack of awareness. They believe much work needs to be done to raise the awareness of this condition among health care providers. Researchers are also looking for other antibodies that may be involved and understand the biomechanicisms that causes these antibodies to affect the excitability of the brain.
Kimberly Allen is a registered nurse with an AND in nursing. She has worked in ACF, LCF and psychiatric facilities, although she spent most of her career as a home health expert. She is now a regular contributor to HealthAndFitnessTalk.com, dispensing advice and knowledge about medical issues and questions. You can reach her with any comments or questions at mussatti3@gmail.com.