by Kimberly Allen, RN
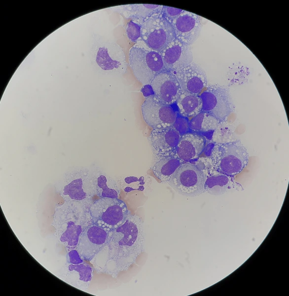
The two main types of cancer that affect the lymphatic system in your body are Hodgkin’s lymphoma and non-Hodgkin’s lymphoma. Burkitt’s lymphoma is classified as a non-Hodgkin’s lymphoma. Although Burkitt’s lymphoma is considered fairly rare in the Western world it is fairly common in Central Africa. There are approximately 1,200 people diagnosed with Burkitt’s lymphoma in the US every year. The majority of them, 59%, are 40 years of age or older in the Western countries, where as in Central Africa it is much more common in children than adults. The main reason for this disparity is that in the Western countries Burkitt’s lymphoma tends to develop in people that are HIV positive and in Central Africa it is almost always, 95%, of the time associated with early exposure to the Epstein-Barr virus. It has also been associated with malaria.
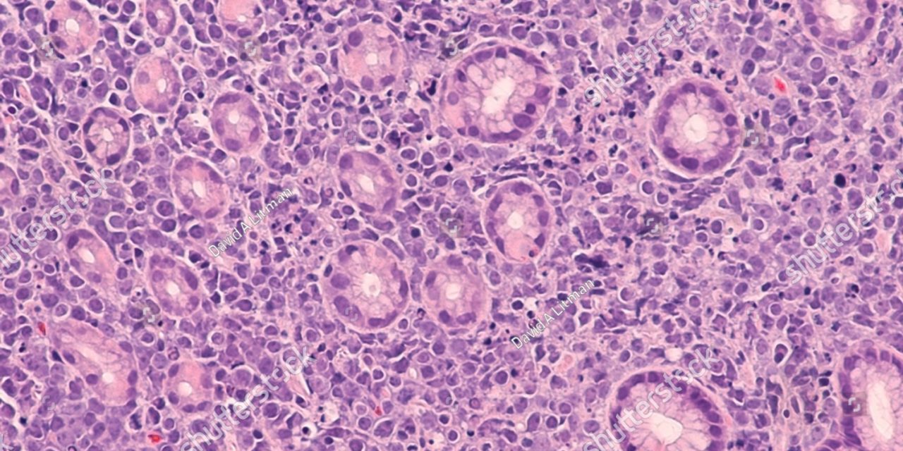
The lymphatic system plays a significant role in helping your body fight infection. It is made up of several different ‘organs’, the lymph nodes, the thymus, spleen and bone marrow, all of which are linked together by tiny lymph vessels. The colorless fluid that circulates through your lymphatic system is called lymph. It is the lymph that contains certain white blood cells known as lymphocytes, and there are 2 types of lymphocytes; T cells and B cells. Burkitt’s lymphoma affects the B cells.
The World Health Organization has classified Burkitt’s lymphoma into 3 types.
1. Endemic Burkitt’s lymphoma, also called African Burkitt’s lymphoma because it is endemic to Central Africa. It is usually diagnosed in children between 4 to 7 years of age and affects boys more often than girls. It is also associated with the Epstein – Barr virus 95% of the time.
2. Sporadic or non-African Burkitt’s lymphoma, occurs everywhere else. Worldwide sporadic Burkitt’s lymphoma is responsible for approximately 2% of adult lymphomas. It is also responsible for up to 40% of pediatric lymphomas. In this type the Epstein – Barr virus is associated with only about 20% of the cases.
3. Immunodeficiency associated is the form of Burkitt’s lymphoma that is most commonly diagnosed in people that are HIV positive. However, it can also develop in people that have congenital immune deficiency conditions as well as people that have had organ transplants and are taking potent immunosuppressive medications. Also, in this type Epstein – Barr virus is found to be associated approximately 40% of the time.
The symptoms of Burkitt’s lymphoma depends on the type you have. In the types seen in the US the disease usually starts in the bowel forming a large tumor in your abdomen. There is usually also extensive involvement in the bone marrow, liver, and spleen. These types can also start in other organs like the ovaries and testes and spread to the brain and cerebral spinal fluid. In general you may experience fatigue and weight loss along with a poor appetite, night sweats and an unexplained fever.
The preferred treatment for Burkitt’s lymphoma is intensive intravenous chemotherapy. This generally means staying in the hospital. Because of the risk of Burkitt’s lymphoma spreading to the cerebral spinal fluid which surrounds the brain and spinal cord the doctor may recommend injecting chemotherapy is crucial to survival. When intensive chemotherapy is initiated promptly survival rates are as high as 90%.